Cas traités au cabinet

Traitements orthodontiques sur-mesure

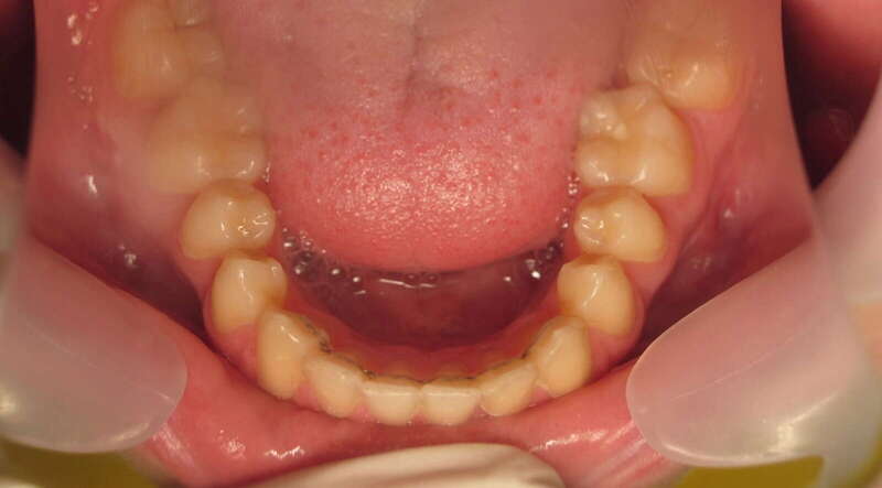
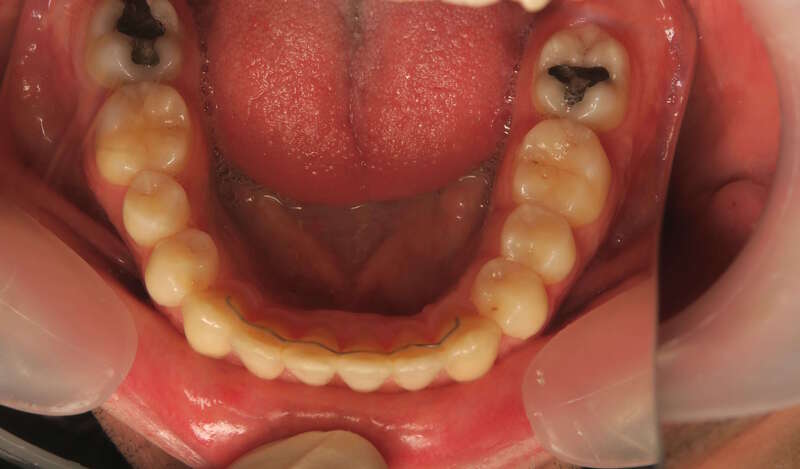
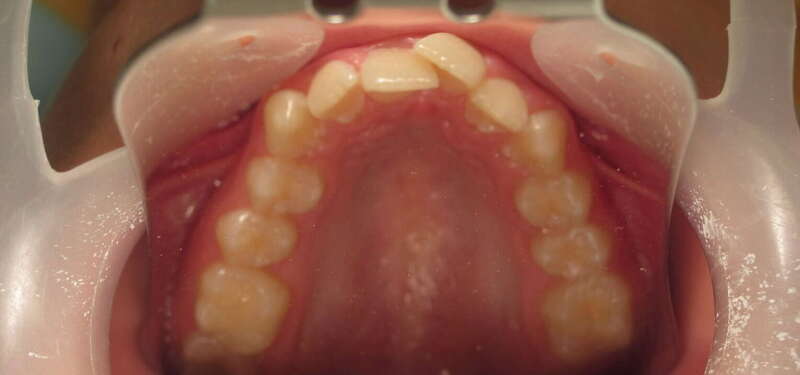
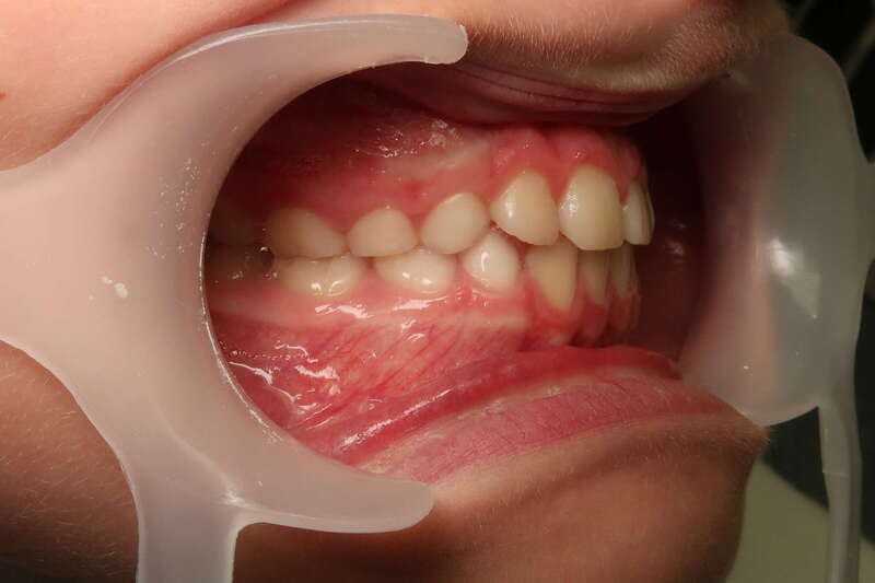
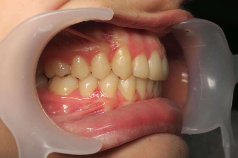
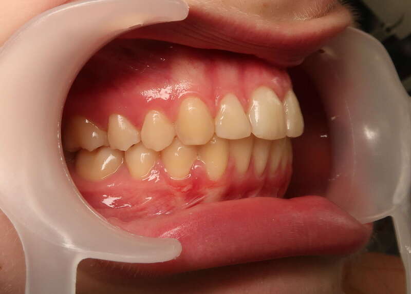
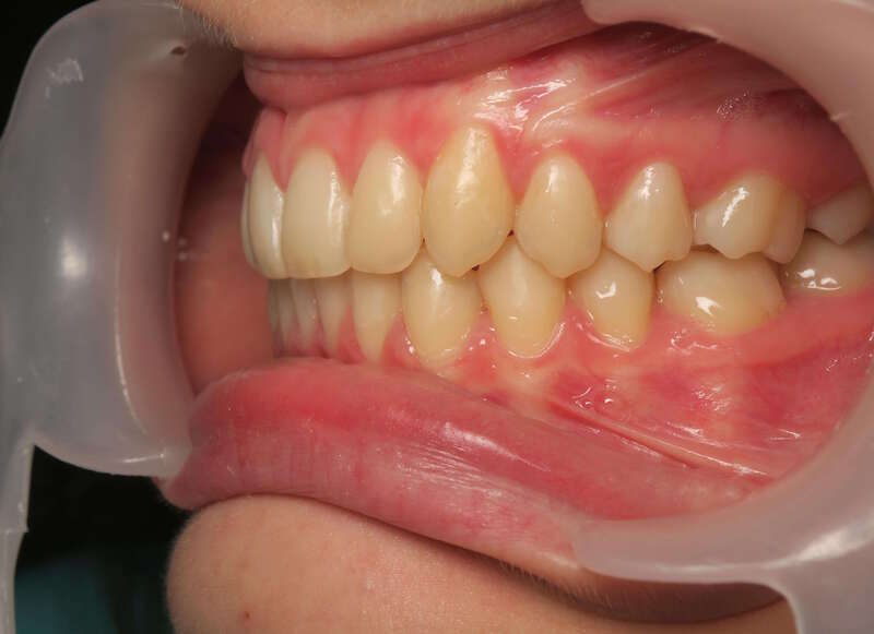
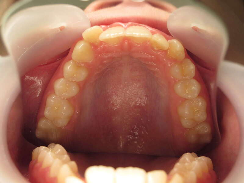
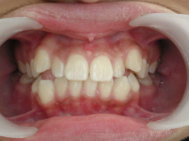
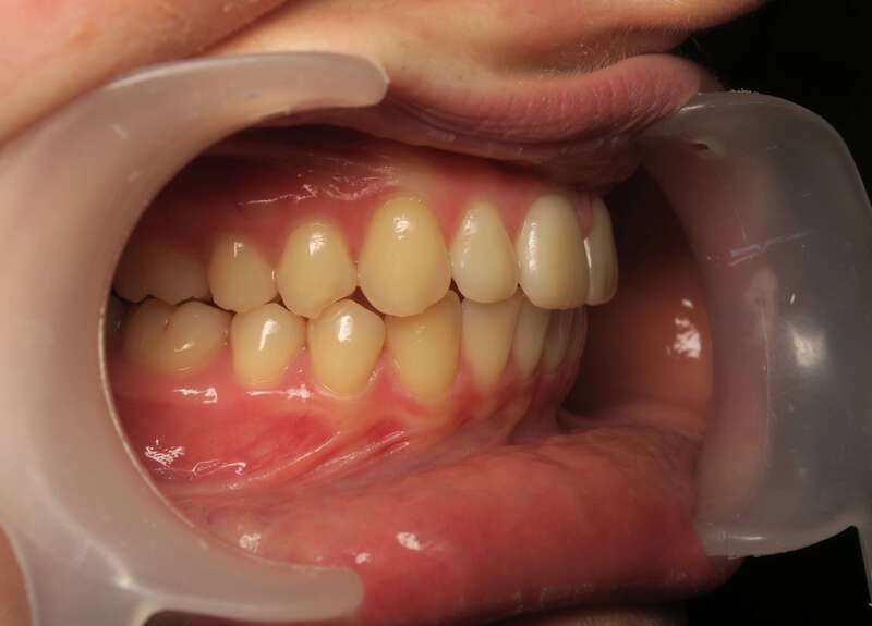
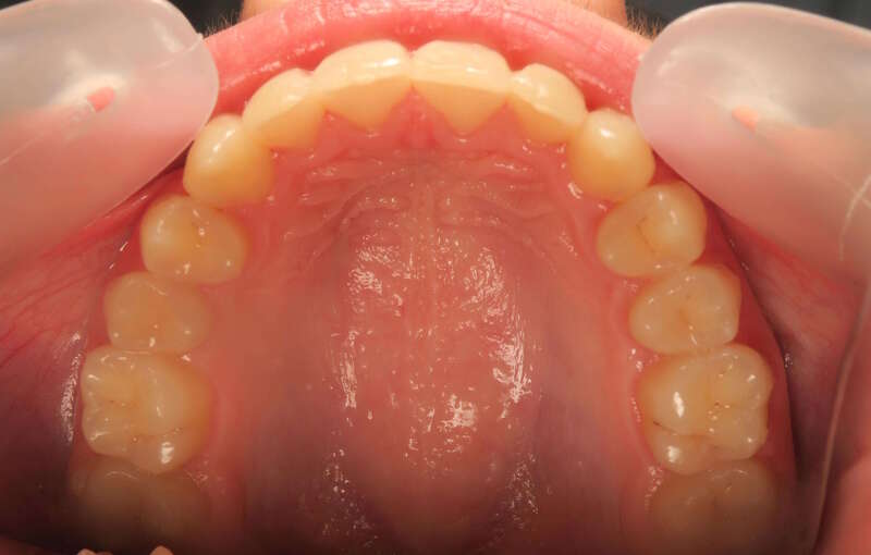
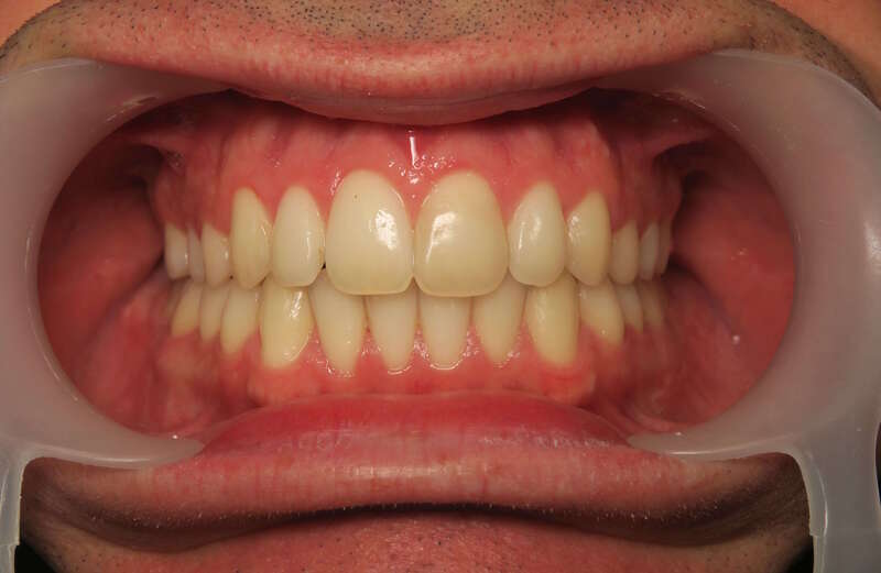
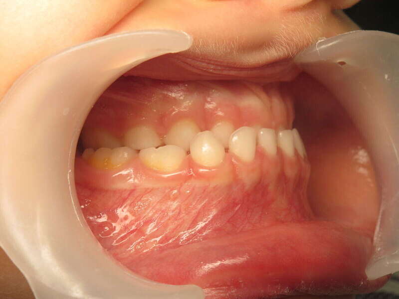
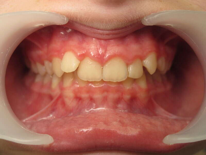
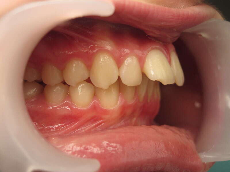
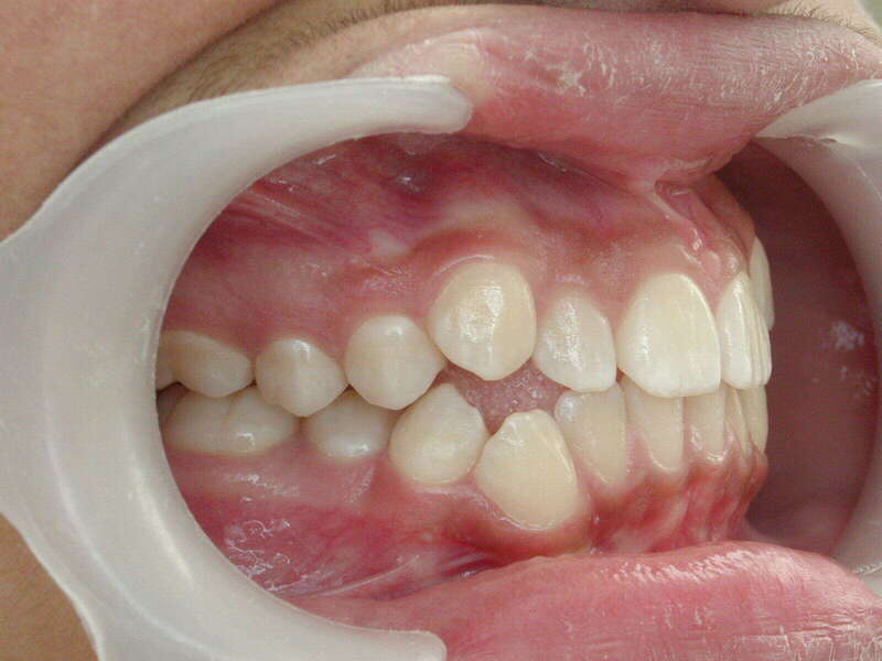
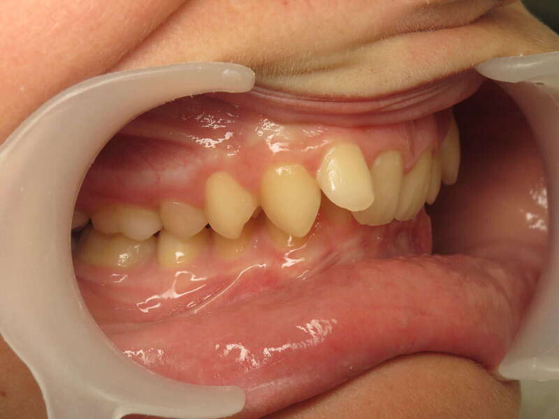
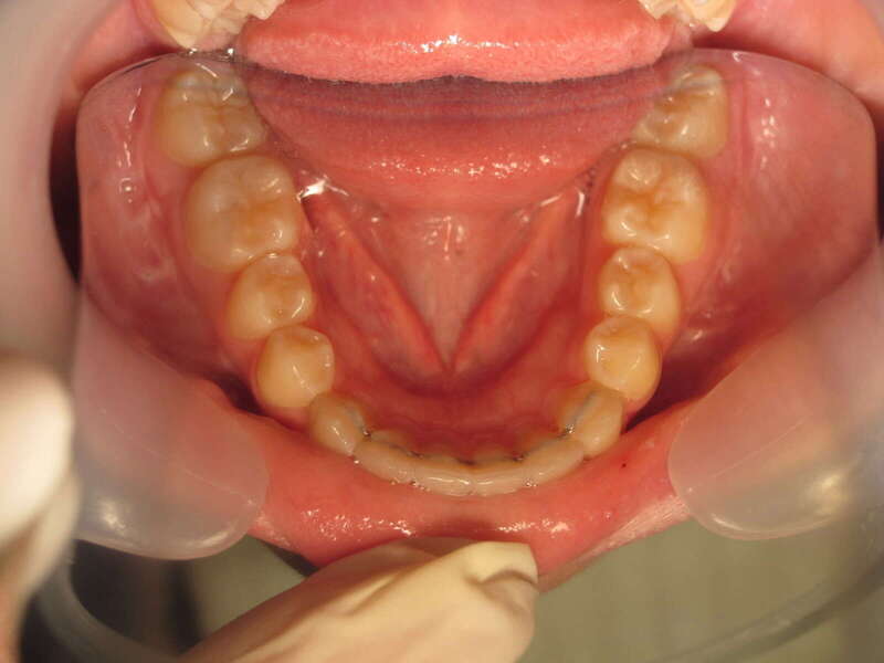
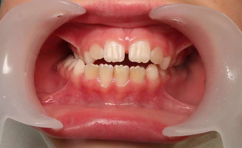
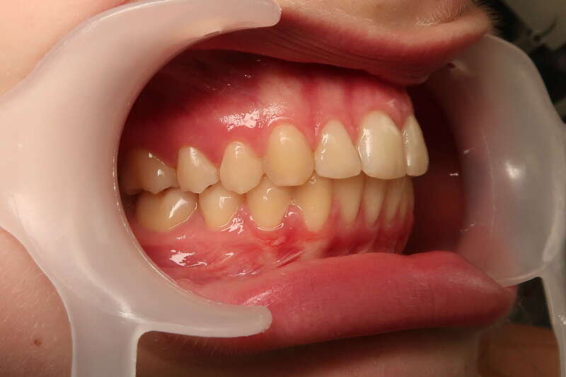
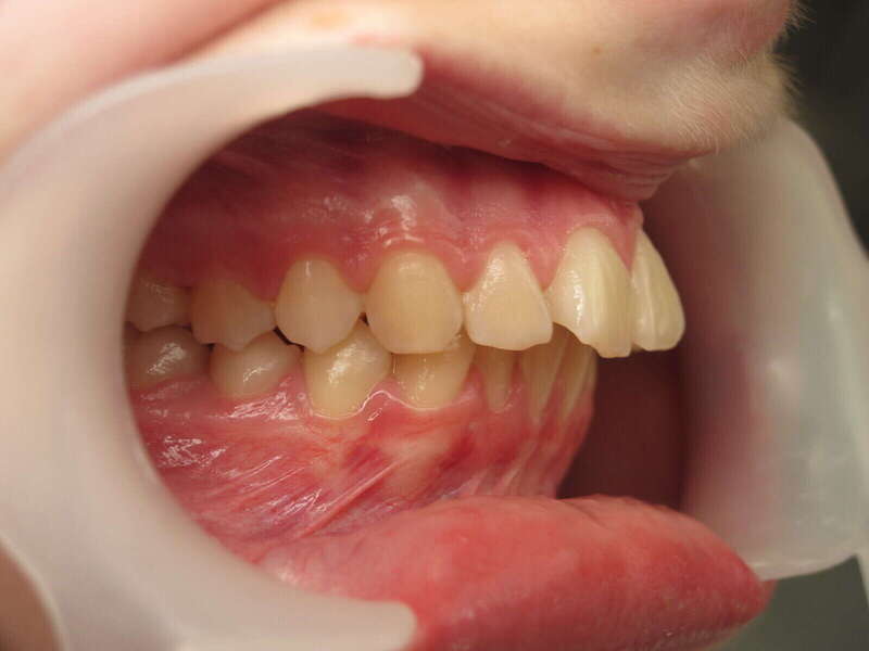
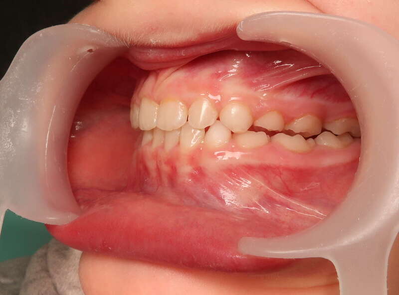
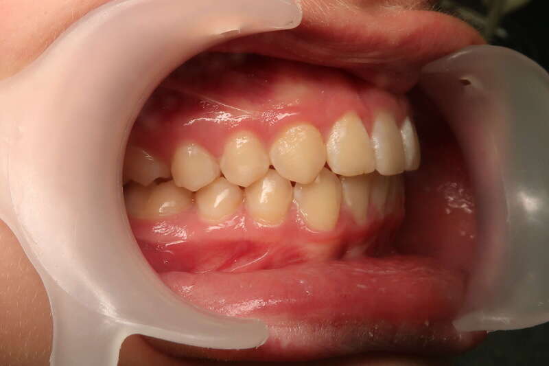
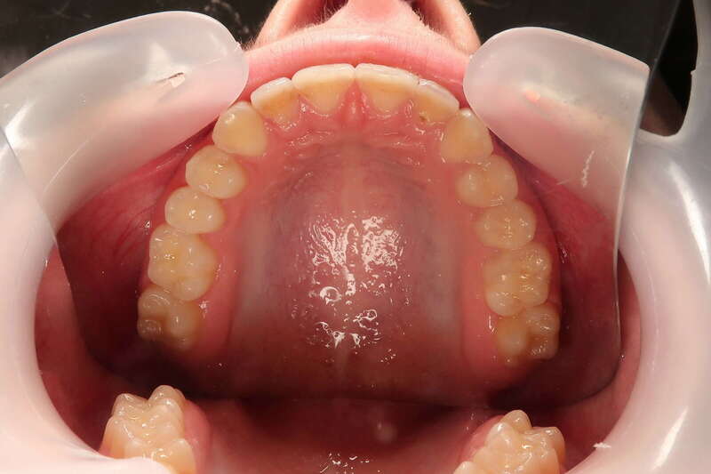
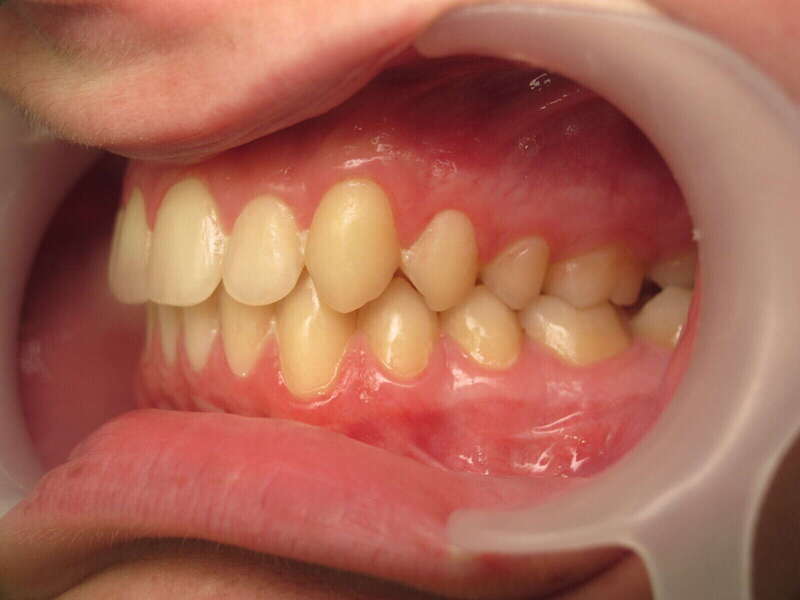
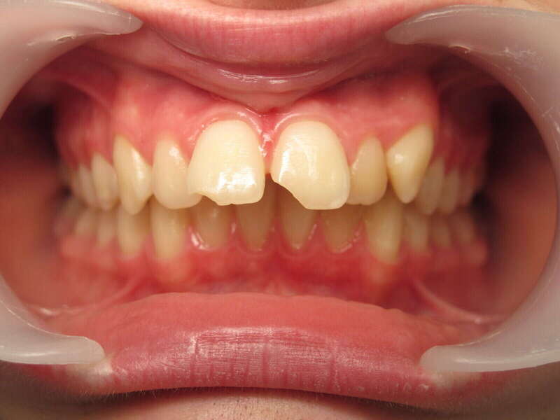
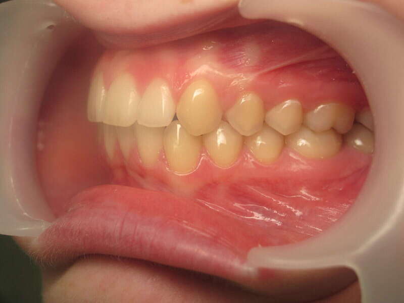
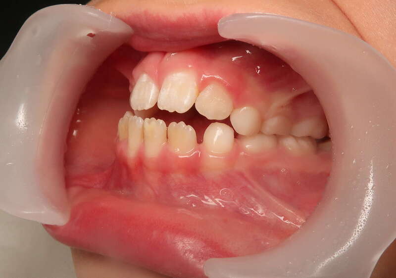
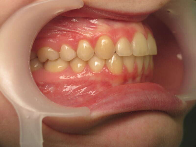
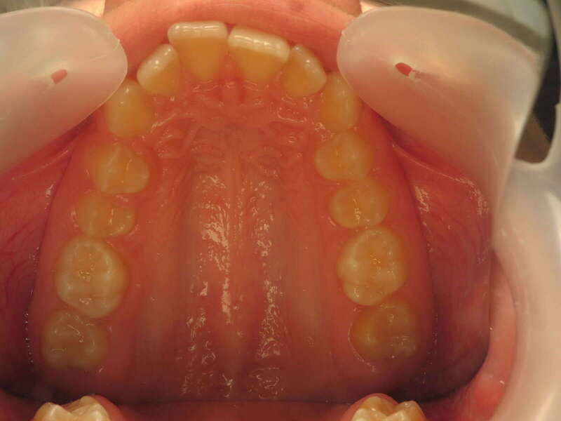
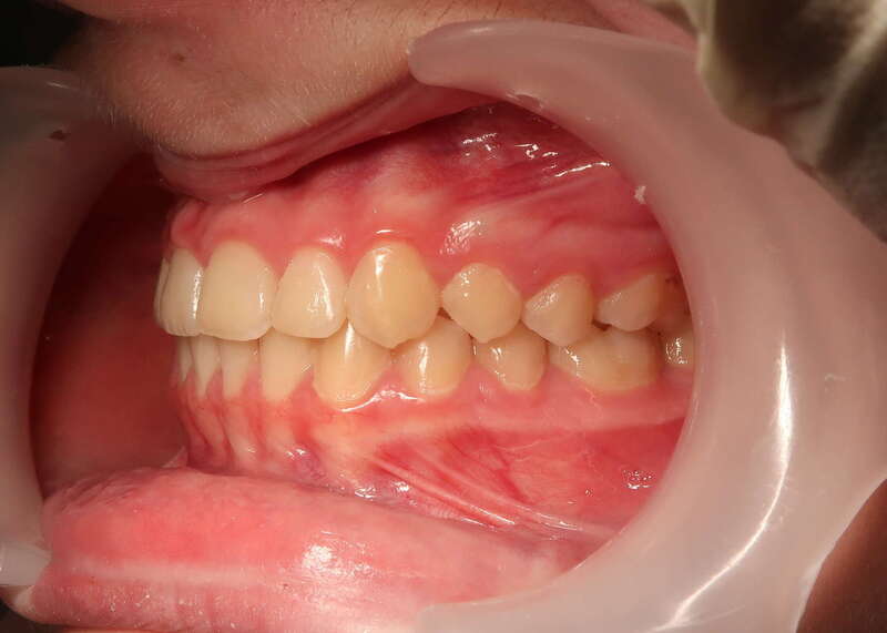
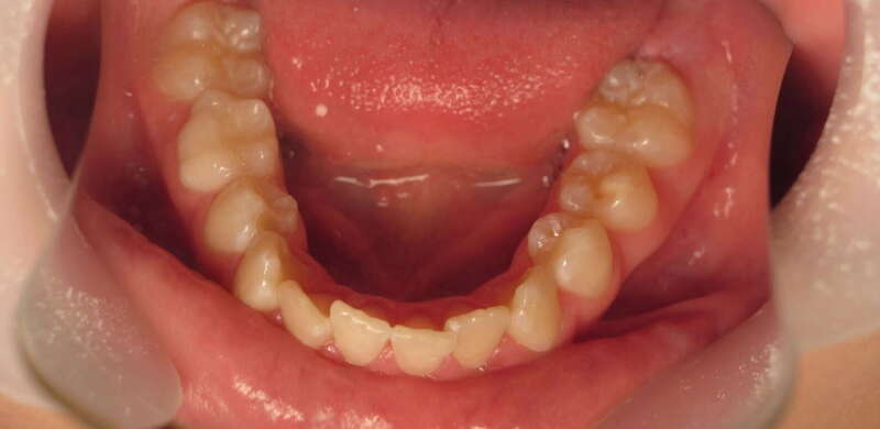
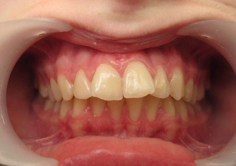
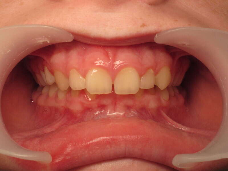
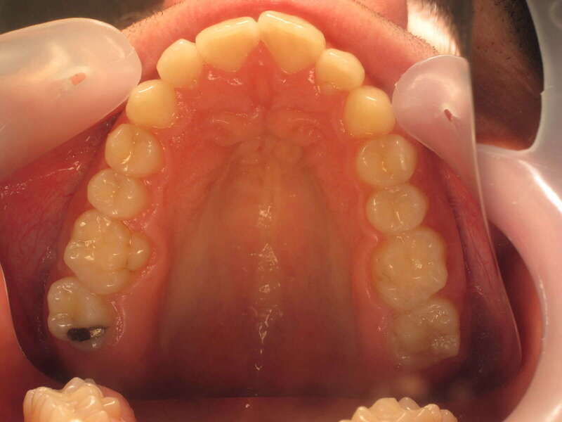
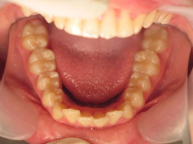
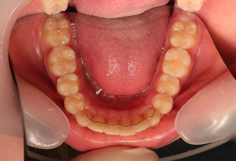
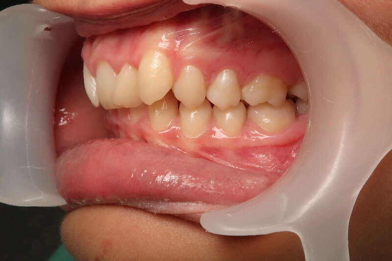
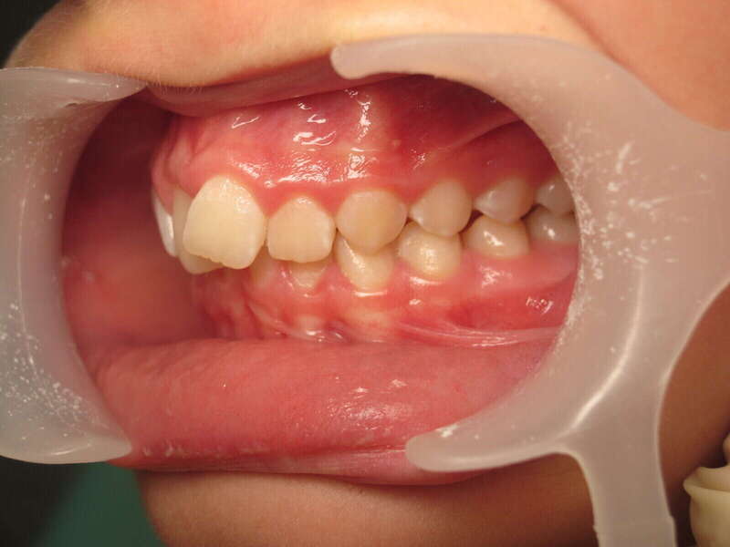
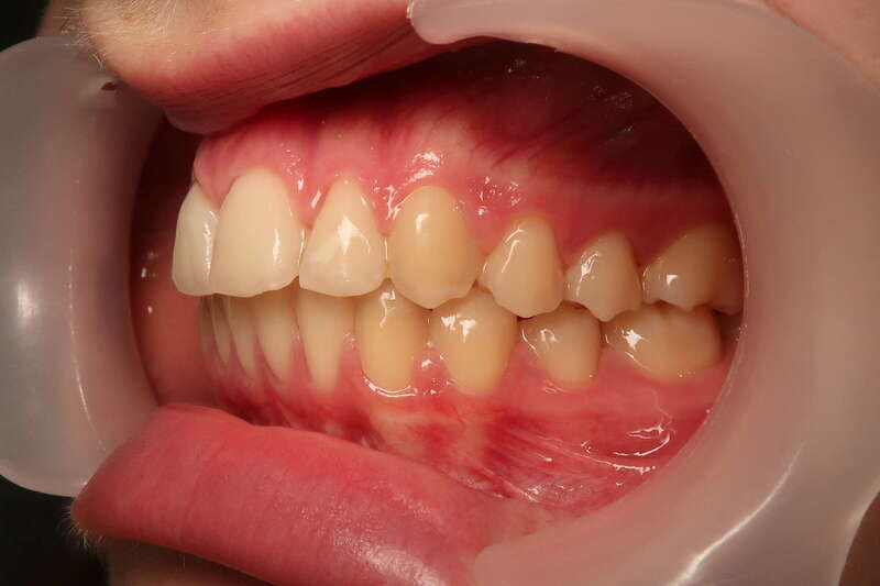
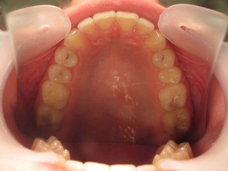
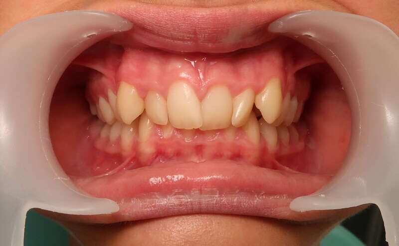
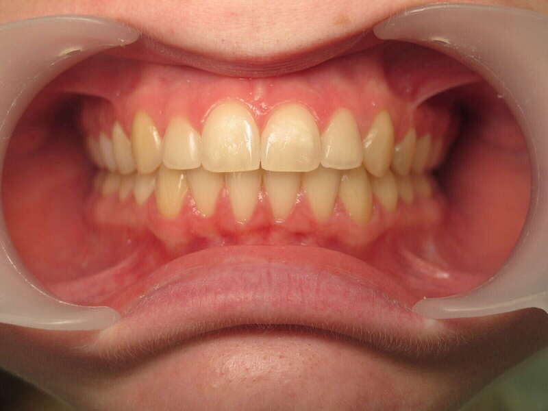
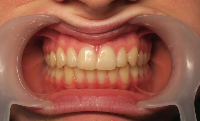
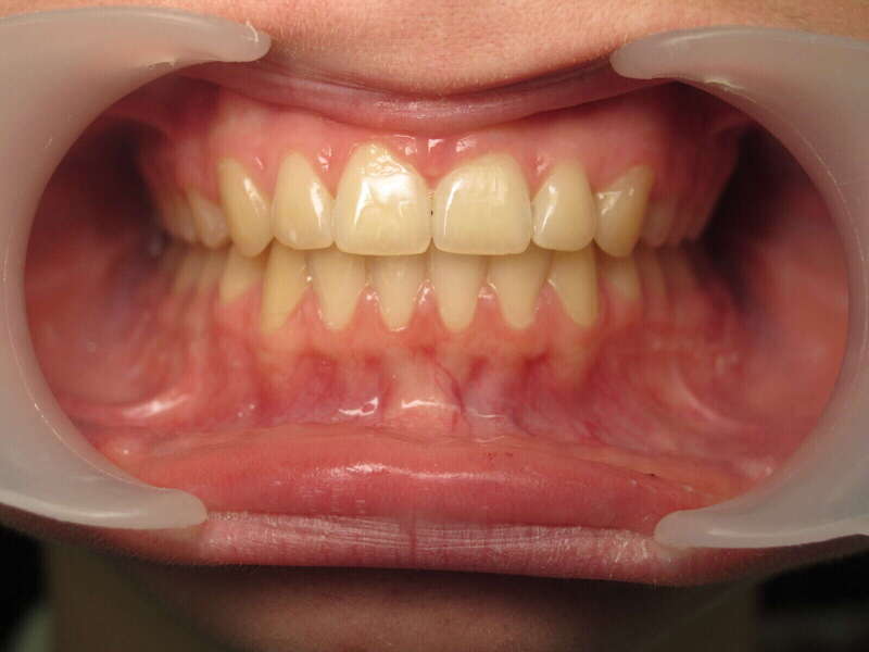
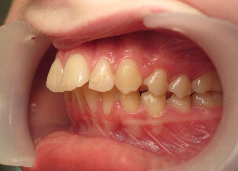
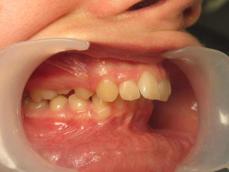
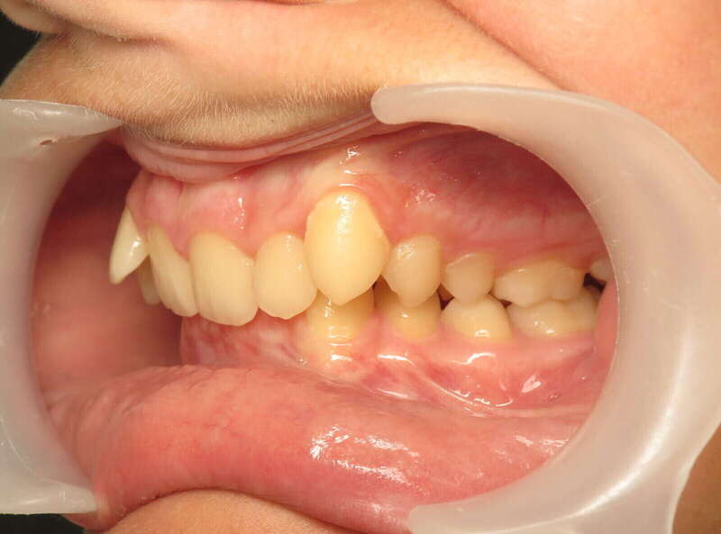
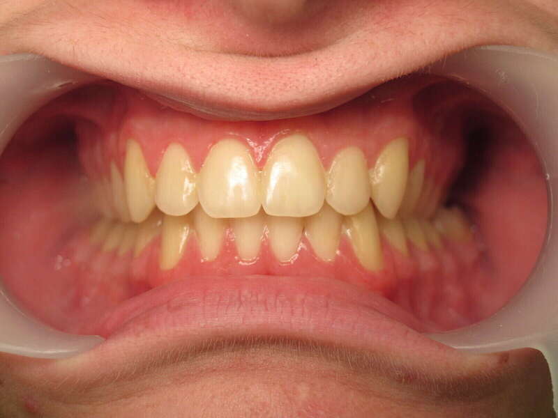
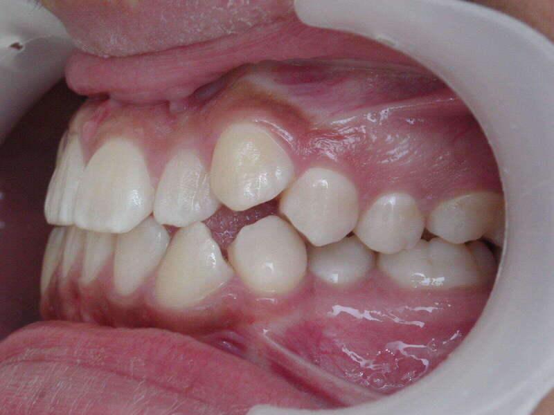
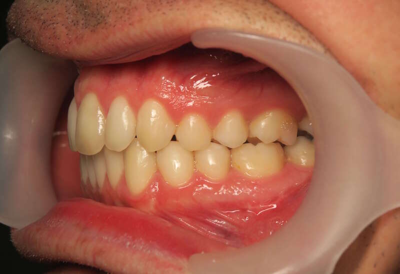
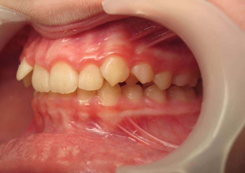
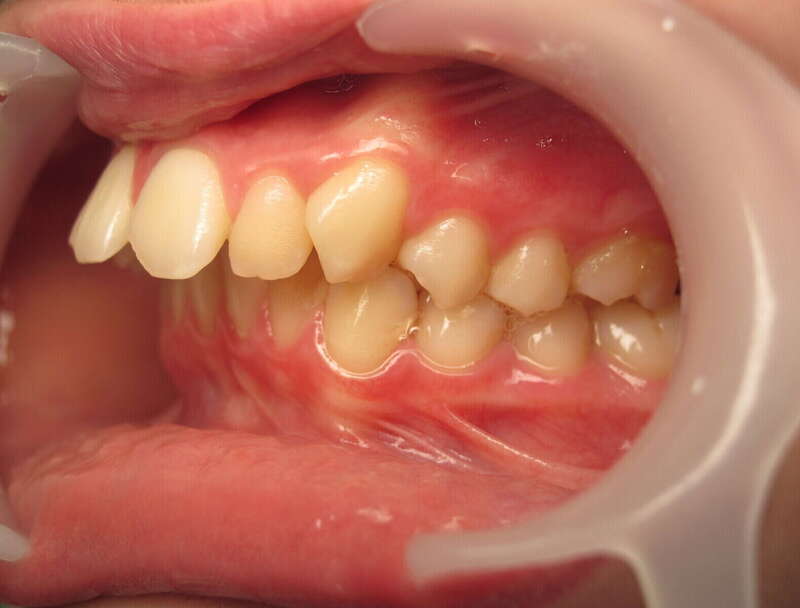
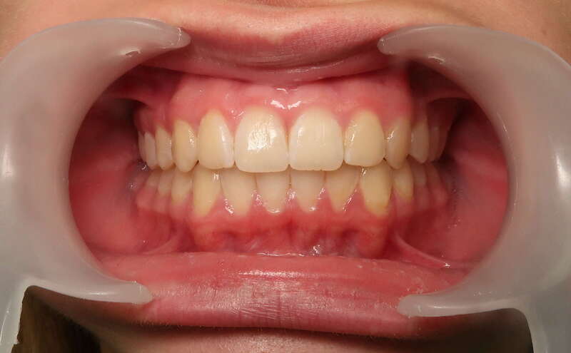
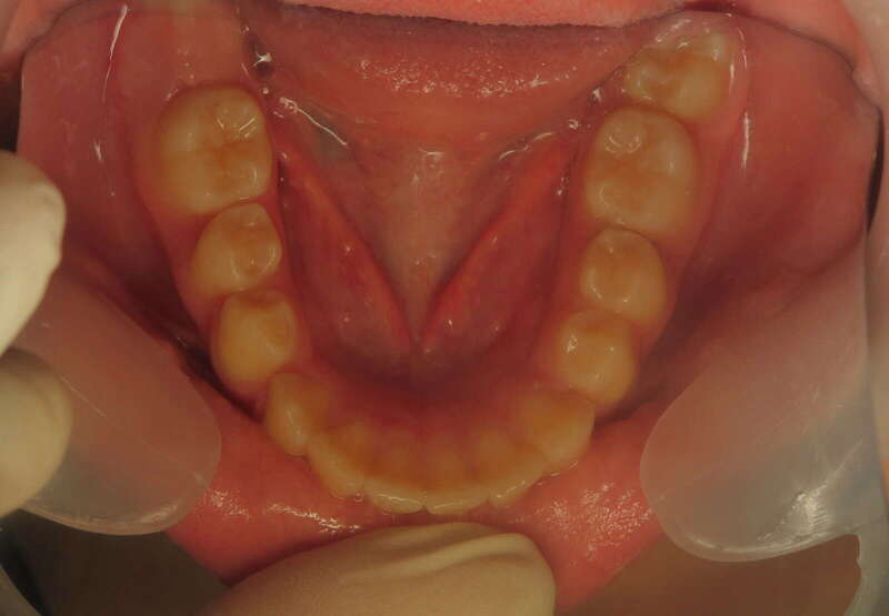
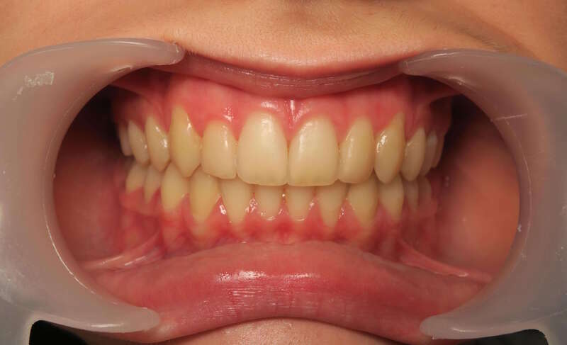
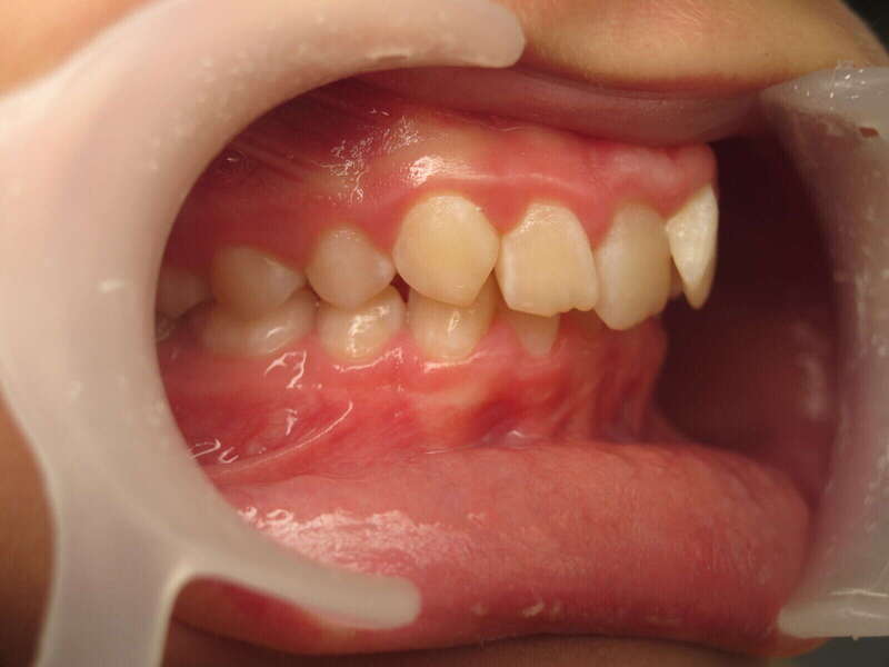
Cas n°1 traité par aligneurs (interception) - enfant

Ce cas d’interception chez un enfant de 8 ans démontre l'efficacité des aligneurs pour corriger des troubles fonctionnels précoces. Le diagnostic présentait des inversions d'articulé provoquant une déviation de la mandibule vers la gauche et un décalage des milieux.

Grâce à une coopération exemplaire et un traitement totalement indolore, l'expansion de l'arcade a permis de recentrer la mâchoire. Cette intervention a littéralement remis la croissance sur les rails, neutralisant le risque d'asymétrie faciale squelettique.

 

Résultats clés :

  • Correction fonctionnelle : Recentrage immédiat de la mandibule et des milieux inter-incisifs.

  • Prévention : Création d'un environnement favorable pour les dents définitives à venir.

  • Bien-être : Approche douce respectant le confort de l'enfant.

C'est une étape fondamentale qui simplifie l'avenir orthodontique du patient tout en garantissant un développement facial harmonieux.

Avant
Après
Avant
Après
Avant
Après
Avant
Après

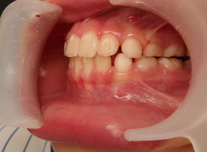
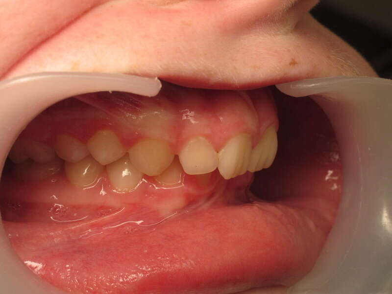
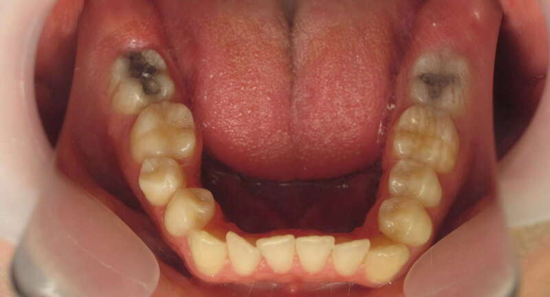
Cas n°2 traité par disjoncteur - enfant

Ce cas d’orthopédie précoce chez un enfant de 8 ans illustre l'efficacité du protocole Disjoncteur + Masque de Delaire. Le patient présentait une inversion d'articulé avec un proglissement mandibulaire, une situation pathologique risquant d'aboutir à un excès de croissance irrémédiable de la mâchoire inférieure.

Le traitement a permis une expansion et une protraction du maxillaire supérieur. En replaçant le maxillaire en avant de la mandibule, l'orthodontiste a levé le verrouillage mécanique et "remis la croissance sur les rails".
 

Résultats clés :

  • Correction squelettique : Rétablissement d'un rapport de Classe I entre les mâchoires.

  • Prévention majeure : Suppression des facteurs favorisant la prognathie mandibulaire.

  • Esthétique fonctionnelle : Développement harmonieux du visage et protection durable des articulations et des dents.

C'est une véritable "chance de croissance" offerte à l'enfant avant l'adolescence.

Avant
Après
Avant
Après
Avant
Après
Avant
Après

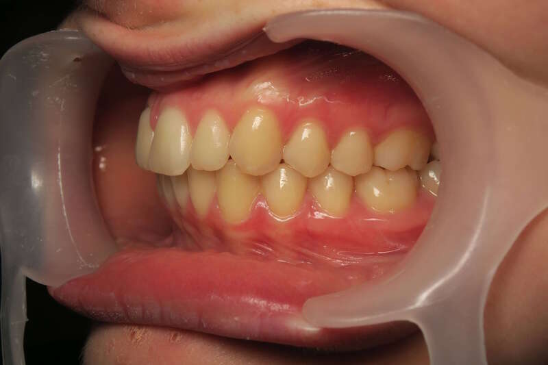
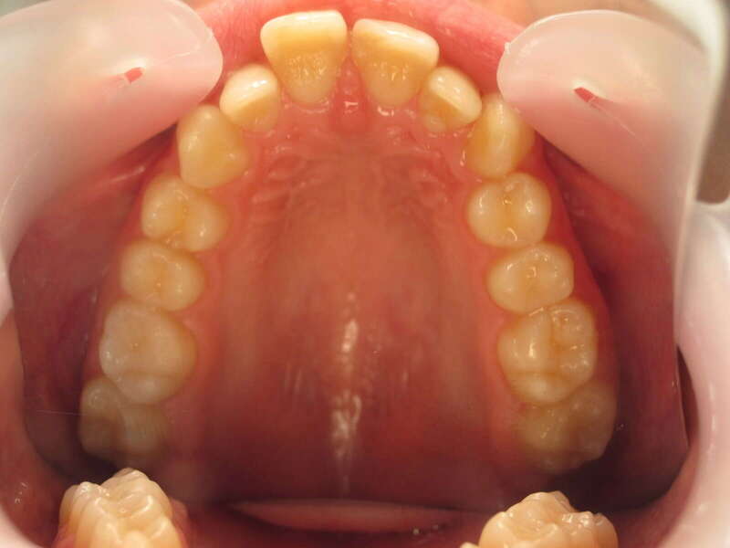
Cas n°3 traité par aligneurs (interception) - enfant

Intervenir dès 8 ans avec cette approche offre des bénéfices structurels :

  • Symétrie Faciale : En éliminant le glissement de la mâchoire, on assure que le visage se développe de manière droite et harmonieuse.

  • Confort Articulaire : Le recentrage prévient les tensions et les pathologies futures des articulations de la mâchoire (douleurs, craquements).

  • Expérience Positive : L'absence de douleur et la simplicité des aligneurs favorisent une excellente acceptation du traitement par l'enfant.

  • Simplification du futur : "Remettre la croissance sur les rails" permet souvent d'éviter des traitements beaucoup plus complexes (voire chirurgicaux) à l'adolescence.

Avant
Après
Avant
Après
Avant
Après
Avant
Après

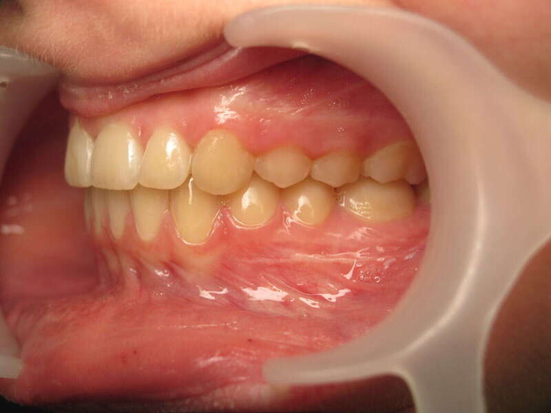
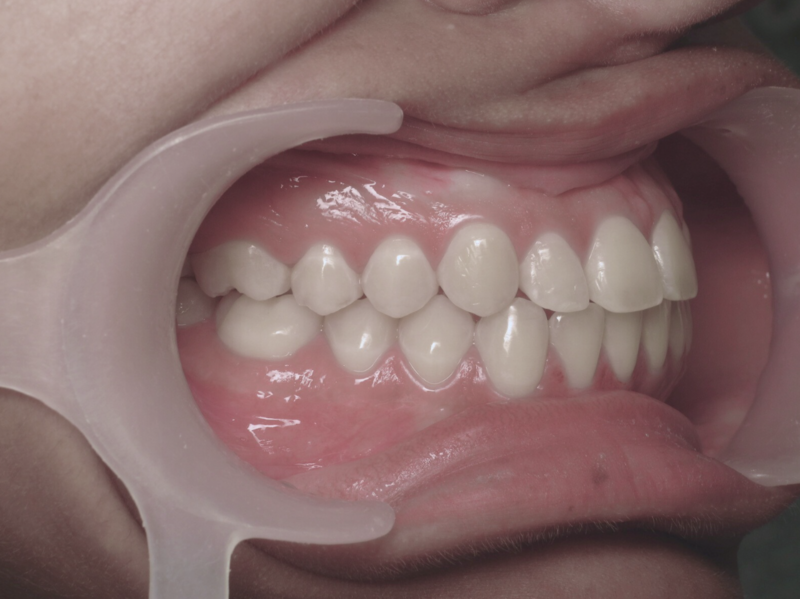
Cas n°1 traité par aligneurs - adolescent

Ce cas d’une adolescente illustre la correction d'une Classe II avec supraclusion par aligneurs. La stratégie thérapeutique a reposé sur une distalisation séquentielle de l'arcade supérieure. Ce mouvement précis a permis de reculer les dents maxillaires étape par étape pour annuler le surplomb (overjet) sans extractions.
 

Résultats clés :

  • Correction fonctionnelle : Retour à un engrènement de Classe I stable et correction du recouvrement vertical.

  • Esthétique restaurée : Harmonisation globale du sourire et du profil.

  • Approche moderne : Un traitement discret, confortable et hautement prévisible.

Le résultat final montre une occlusion saine et un sourire parfaitement aligné, garantissant une santé dentaire et articulaire optimale pour l'avenir.

Avant
Après
Avant
Après
Avant
Après
Avant
Après
Avant
Après

Cas n°2 traité par aligneurs - adolescent

Ce cas d'une adolescente illustre la puissance des aligneurs dans la correction d'une Classe II sévère sans extraction. La stratégie a reposé sur une distalisation séquentielle de l'arcade supérieure, soutenue par une coopération soutenue du port d'élastiques intermaxillaires.

Cette approche a permis d'annuler un surplomb incisif (overjet) important tout en réhabilitant une occlusion de Classe I stable. L'absence d'extraction a été déterminante pour préserver l'harmonie du profil, évitant le creusement du visage souvent lié aux traitements soustractifs classiques.
 

Résultats clés :

  • Conservation dentaire : Alignement total sans perte de prémolaires.

  • Fonctionnalité : Engrènement parfait et stable.

  • Esthétique faciale : Soutien labial optimal et sourire élargi.

C'est une démonstration claire de l'orthodontie moderne : efficace, esthétique et respectueuse de l'anatomie naturelle.

Avant
Après
Avant
Après
Avant
Après
Avant
Après
Avant
Après

Cas n°3 traité par aligneurs - adolescent

Ce traitement réalisé par aligneurs  est une véritable réhabilitation fonctionnelle pour cette adolescente :

  • Libération de l'articulation (ATM) : En supprimant le verrouillage incisif, on permet à la mâchoire de fonctionner sans contraintes compressives sur les articulations temporo-mandibulaires.

  • Protection contre l'usure : La correction de la supraclusion profonde évite l'usure traumatique des bords libres des incisives inférieures et du palais.

  • Efficacité masticatoire : Le passage à une Classe I parfaite optimise les contacts dentaires, permettant une meilleure fragmentation des aliments.

  • Esthétique et Bien-être : L'harmonisation du profil et du sourire transforme l'image de soi, un bénéfice majeur pour une jeune fille en pleine croissance.

Avant
Après
Avant
Après
Avant
Après
Avant
Après

Cas n°4 traités par aligneurs - adolescent

Ce traitement ortho-chirurgical  chez une adolescente apporte des bénéfices vitaux qui dépassent largement l'esthétique :

  • Santé Respiratoire : L'avancée de la mandibule libère de l'espace au niveau des voies aériennes supérieures (pharynx), ce qui améliore la respiration et prévient les risques d'apnée du sommeil à l'âge adulte.

  • Protection Articulaire (ATM) : En replaçant la mâchoire dans une position centrée et non plus reculée, on protège les articulations contre les douleurs, les craquements et l'arthrose précoce.

  • Stabilité Parodontale : La correction de la supraclusion profonde protège les gencives et l'os contre les traumatismes liés aux contacts dentaires anormaux.

  • Impact Psychosocial : Le passage d'un "profil d'oiseau" à un visage équilibré est une véritable renaissance pour une adolescente, lui offrant un nouveau regard sur elle-même.

Avant
Après
Avant
Après
Avant
Après
Avant
Après
Avant
Après
Avant
Après
Avant
Après

Cas n°5 traité par aligneurs - adolescent

Ce traitement par aligneurs offre des bénéfices durables pour l'adolescente :

  • Optimisation Parodontale : Des dents alignées et une arcade élargie facilitent grandement le brossage, réduisant drastiquement les risques de gingivite et de tartre.

  • Équilibre musculaire et articulaire : La levée de la supraclusion et la correction du décalage préviennent les tensions musculaires faciales et les pathologies de l'articulation temporo-mandibulaire (ATM).

  • Préservation de l'Émail : L'engrènement correct de Classe I évite les usures prématurées (attrition) liées aux mauvais contacts dentaires.

  • Soutien Esthétique du Visage : L'élargissement des arcades soutient mieux les lèvres et les joues, offrant un sourire plus radieux qui booste la confiance en soi à un âge clé du développement.

Avant
Après
Avant
Après
Avant
Après
Avant
Après
Avant
Après
Avant
Après

Cas n°6 traités par aligneurs - adolescent

Cette prise en charge par aligneurs transforme la santé bucco-dentaire de la patiente :

  • Préservation de l'Émail : La correction de la supraclusion empêche les chocs traumatiques entre les dents, évitant les fractures et l'usure précoce.

  • Santé Parodontale : L'alignement facilite grandement l'élimination de la plaque dentaire, protégeant ainsi durablement la gencive et l'os de soutien.

  • Confort de l'Articulation (ATM) : Un bon engrènement permet une mastication équilibrée, réduisant les risques de tensions musculaires et de craquements articulaires.

  • Esthétique et Social : La réhabilitation du sourire à l'adolescence est un facteur déterminant pour l'estime de soi et l'épanouissement personnel.

Avant
Après
Avant
Après
Avant
Après
Avant
Après
Avant
Après
Avant
Après

Cas n°7 traité par appareil multi-attaches - adolescent

Ce cas illustre la réussite d'un traitement orthodontico-chirurgical complexe chez un patient adolescent. La problématique initiale associait un encombrement dentaire sévère, une Classe II squelettique (mandibule en retrait) et une supraclusion marquée, verrouillant l'articulation.

Le traitement a été conduit avec des brackets autoligaturants, une technologie de pointe permettant un alignement fluide et une préparation des arcades optimale par une gestion précise des forces de friction. Cette phase orthodontique a permis de lever les compensations dentaires pour préparer l'étape chirurgicale de repositionnement mandibulaire.

 

Les clés du résultat :

  • Harmonie faciale : L’avancée chirurgicale a radicalement équilibré le profil.

  • Occlusion fonctionnelle : Obtention d'un engrènement de Classe I stable et correction totale de la supraclusion.

  • Esthétique : Un sourire élargi et parfaitement aligné.

 

Bénéfices santé : Au-delà de l'esthétique, ce traitement protège les articulations temporo-mandibulaires (ATM) et prévient l'usure dentaire prématurée. Chez l'adolescent, cette transformation fonctionnelle et morphologique est essentielle pour la santé respiratoire, la mastication et le renforcement de l'estime de soi.

Avant
Après
Avant
Après
Avant
Après
Avant
Après
Avant
Après
Avant
Après

Cas n°8 traité par appareil multi-attaches - adolescent

Ce cas d’adolescente illustre la puissance d'un traitement orthodontico-chirurgical combiné. La patiente présentait une Classe II squelettique avec une supraclusion sévère et un sourire gingival marqué.

L’utilisation de brackets autoligaturants a assuré une préparation orthodontique précise, minimisant les frictions et optimisant le nivellement des arcades. Cette phase a été suivie d'une chirurgie d’avancée mandibulaire pour corriger le décalage osseux.

 

Résultats clés :

  • Correction fonctionnelle : Obtention d'un engrènement de Classe I et suppression de la supraclusion traumatique.

  • Esthétique faciale : Harmonisation du profil et correction du sourire gingival pour un rendu naturel.

  • Santé durable : Prévention de l'usure dentaire et amélioration des fonctions respiratoires et articulaires.

Un traitement global qui restaure non seulement la fonction masticatoire, mais redéfinit totalement l'équilibre esthétique du visage pour l'entrée dans l'âge adulte.

Avant
Après
Avant
Après
Avant
Après
Avant
Après
Avant
Après
Avant
Après

Cas n°9 traité par multi-attaches - adolescent

Ce cas d'adolescent illustre une stratégie de développement d'arcade réussie. Le patient présentait un encombrement massif et des inversions d'articulé rendant l'occlusion instable.

Le traitement a été réalisé avec des multibagues autoligaturantes, choisies pour leur capacité à générer des forces légères et continues, idéales pour l'expansion transversale. Cette approche a permis de corriger l'encombrement et les inversions d'articulé sans extractions dentaires, en remodelant simplement la forme des arcades.

 

Résultats clés :

  • Transformation d'arcade : Passage d'une arcade étroite et encombrée à une arcade large et fonctionnelle.

  • Occlusion optimale : Rétablissement d'un engrènement sain, protégeant les dents contre les usures anormales.

  • Esthétique naturelle : Le sourire est élargi, harmonieux et parfaitement intégré au profil du patient.

C'est une démonstration de l'efficacité biologique de l'orthodontie moderne, qui privilégie la conservation dentaire et le respect des structures osseuses.

Avant le traitement

Pendant le traitement

Après le traitement

Cas n°10 traité par multi-attaches - adolescent

Ce cas d’adolescent démontre l'efficacité du traitement par brackets autoligaturants pour résoudre un encombrement majeur sans extraction. Initialement, le patient présentait des dents sévèrement chevauchées et exclues de l'arcade par manque de place.

Grâce à la technologie autoligaturante, le traitement a privilégié le développement biologique des arcades. Les forces légères et constantes ont permis d'élargir les arcades de manière physiologique, créant l'espace nécessaire pour aligner chaque dent tout en respectant l'équilibre du profil.

 

Résultats clés :

  • Intégrité dentaire : Conservation de toutes les dents naturelles.

  • Harmonie esthétique : Sourire large et aligné qui transforme l'expression faciale.

  • Santé parodontale : Alignement facilitant l'hygiène et protégeant les tissus de soutien.

Ce traitement illustre parfaitement l'orthodontie moderne : une approche conservatrice qui optimise la fonction et l'esthétique sans compromis chirurgical ou extractif.

Avant le traitement

Pendant le traitement

Après le traitement

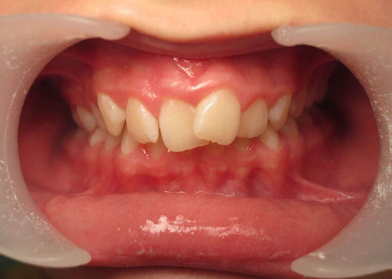
Cas n°11 traité par multi-attaches - adolescent

Analyse Diagnostique : Urgence fonctionnelle et esthétique

L'examen initial (Photos "Avant") révélait une situation à haut risque nécessitant une intervention multibagues globale :

 

  • Proalvéolie supérieure majeure : Les incisives supérieures étaient projetées vers l'avant de manière très importante. Cette inclinaison créait un risque majeur de fracture dentaire en cas de chute ou de choc accidentel.
  • Interposition labiale : La lèvre inférieure venait se placer derrière les incisives supérieures au repos et lors de la déglutition. Ce tic de lèvre auto-entretient la malformation en poussant continuellement les dents vers l'avant.
  • Incompétence labiale : Difficulté à fermer les lèvres naturellement, ce qui forçait la patiente à une contraction musculaire permanente pour obtenir une occlusion labiale.
  • Manque de place : Un encombrement associé ne permettait pas un alignement sans créer d'espace supplémentaire.

 

La stratégie thérapeutique a reposé sur l'extraction des deux premières prémolaires supérieures (14 et 24) pour offrir le recul nécessaire :

  1. Annulation de la proalvéolie : L'espace des extractions a été utilisé pour reculer et redresser les incisives supérieures. Le surplomb est désormais physiologique.

  2. Restauration de la fonction labiale : En reculant les dents, on a permis à la lèvre inférieure de passer devant les incisives. La lèvre peut enfin jouer son rôle de contention naturelle.

  3. Guidance incisive correcte : Les dents du haut et du bas travaillent maintenant ensemble lors des mouvements de propulsion, protégeant ainsi les articulations.

  4. Classe II thérapeutique molaire : Le choix a été fait de terminer avec un engrènement molaire de classe II (car seules les dents du haut ont été extraites), ce qui permet une occlusion stable et parfaitement fonctionnelle.

 

Effets positifs du traitement pour la santé de la patiente

  • Sécurité traumatique : En ramenant les incisives dans "l'enclos" des lèvres, on réduit drastiquement le risque de perte dentaire par fracture.

  • Santé Parodontale : Le bon positionnement des dents sur l'os évite les tensions anormales sur les gencives et les racines.

  • Équilibre Musculaire : La suppression de l'interposition labiale permet aux muscles du visage de fonctionner sans contrainte, évitant les tensions asymétriques.

  • Harmonie Esthétique : La patiente retrouve un profil équilibré et un sourire dont elle n'a plus à craindre l'exposition.

 

Légendes des photos

  • Photos "Avant" : « Proversion incisive extrême avec risque traumatique imminent. L'interposition de la lèvre inférieure sous les dents du haut aggrave le décalage et empêche une fermeture labiale sereine. »

  • Photos "Après" : « Résultat après traitement multibagues et extractions de deux prémolaires. Le profil est harmonisé, les dents sont protégées et la fonction labiale est rétablie. Notez la parfaite finition de l'engrènement. »

Avant le traitement

Pendant le traitement

Après le traitement

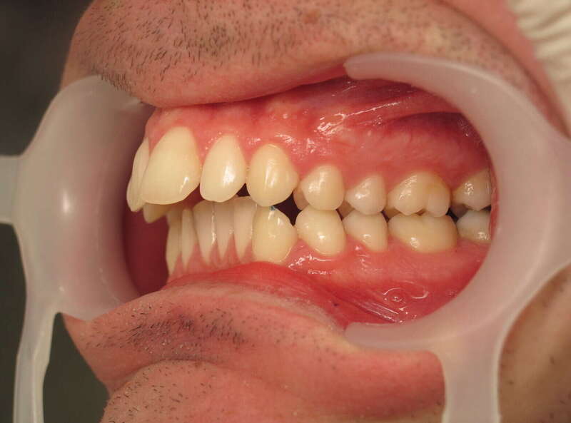
Cas n°12 traité par multi-attaches - adolescent

L'examen initial révélait une situation complexe nécessitant une action sur l'alignement et sur l'emboîtement des mâchoires :

  • Encombrement bimaxillaire : Un manque de place important aux deux arcades (supérieure et inférieure), entraînant des chevauchements dentaires et des rotations gênant à la fois l'esthétique et l'hygiène.

  • Prognathie dentaire inférieure : Les dents du bas se situent trop en avant par rapport aux dents du haut. Sans correction, ce décalage empêche un engrènement stable et peut fragiliser le parodonte des incisives.

  • Sourire irrégulier : L'alignement défaillant brisait l'harmonie du sourire, avec des dents situées hors de la courbe idéale.

 

Éléments clés du résultat (Photos "Après")

 

La réussite de ce traitement a reposé sur une mécanique de précision et, surtout, sur une coopération sans faille de la patiente :

  1. Alignement et Nivellement : L'utilisation de bagues a permis de redresser chaque dent et de créer des arcades aux courbes fluides et régulières.

  2. Gestion de l'Ancrage par Élastiques : Le port rigoureux d'élastiques intermaxillaires (entre le haut et le bas) a été l'élément moteur pour reculer le bloc inférieur et avancer légèrement le bloc supérieur.

  3. Obtention d'une Classe I Canine et Molaire : Le résultat final montre un engrènement "en clé", où les dents s'emboîtent parfaitement, assurant la stabilité du traitement.

  4. Harmonisation faciale : Le profil et le sourire sont désormais équilibrés, avec un soutien labial optimal.

 

Effets positifs du traitement pour la santé de la patiente

 

  • Pérennité du Parodonte : En replaçant les dents du bas correctement par rapport au haut, on supprime les traumatismes occlusaux qui peuvent causer des déchaussements prématurés.

  • Facilité d'Entretien : Des dents parfaitement alignées permettent un brossage efficace, réduisant drastiquement les risques de caries et de gingivites.

  • Protection Articulaire : Un bon emboîtement garantit un fonctionnement sain des articulations temporo-mandibulaires (ATM), évitant les douleurs et les craquements à long terme.

  • Confiance en Soi : La transformation d'un sourire encombré en un sourire aligné et harmonieux est un atout social et psychologique majeur pour une adolescente.

 

Légendes des photos avant/ après 

 

  • Photos "Avant" : « Encombrement sévère aux deux mâchoires avec un décalage marqué : les dents inférieures sont trop avancées, ce qui perturbe la fonction masticatoire et l'esthétique globale. »

  • Photos "Après" : « Résultat final montrant un alignement parfait et un engrènement de Classe I. Ce succès est le fruit d'une excellente coopération de l'adolescente dans le port de ses élastiques de coordination. »

Avant
Après
Avant
Après
Avant
Après
Avant
Après
Avant
Après

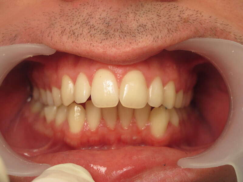
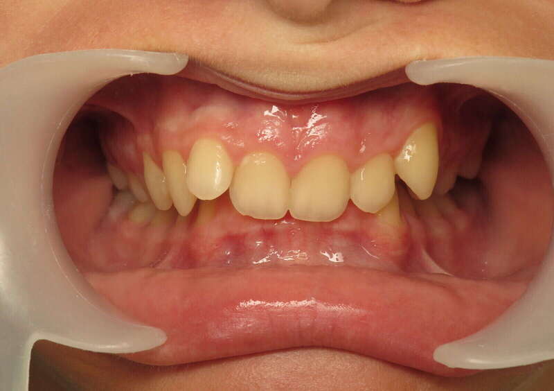
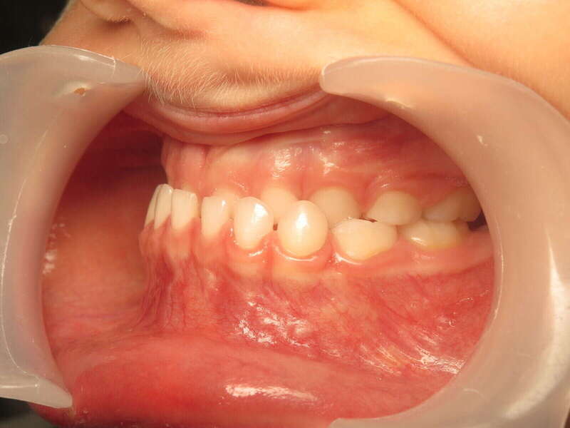
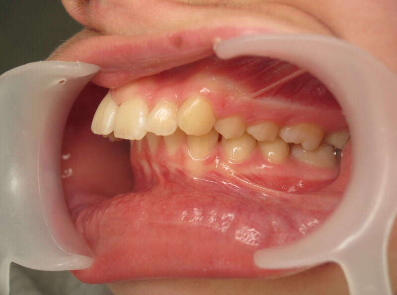
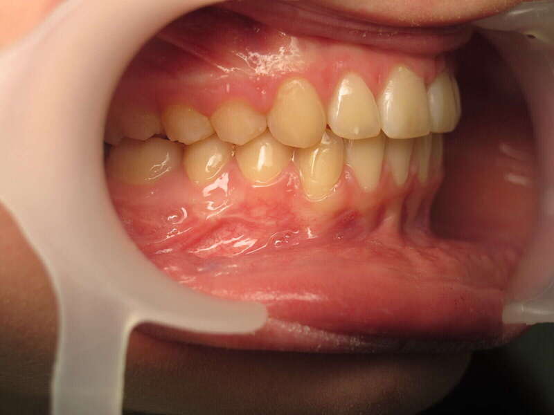
Cas n°1 d'orthodontie chirurgicale par aligneurs - adulte

Voici l'analyse de ce cas clinique concernant un patient adulte de 30 ans, illustrant la réussite d'un protocole ortho-chirurgical mené avec des aligneurs. Ce cas met en lumière l'importance de la fonction musculaire et respiratoire au-delà de l'alignement dentaire.

 

 À 30 ans, la croissance est terminée, ce qui rend la correction d'un décalage osseux uniquement possible par la chirurgie :

  • Rétrognathie Mandibulaire (Profil Rétrusif) : Le patient présentait un menton fuyant, caractéristique d'une mandibule trop courte ou positionnée trop en arrière.

  • Déficit Fonctionnel : L'absence d'engrènement correct entraînait une mastication inefficace. Le patient rapportait une sensation de "manque de force" lors de l'alimentation.

  • Supraclusion et Décalage : Un recouvrement incisif important qui bloquait toute dynamique mandibulaire saine.

  • Usure et Fatigue : Chez l'adulte, ces malpositions entraînent souvent des tensions musculaires et une usure prématurée du capital dentaire.Le traitement a combiné la précision numérique des aligneurs et la puissance de la chirurgie maxillo-faciale :

    1. Préparation par Aligneurs : Les arcades ont été préparées (alignement et coordination) pour que, une fois la mâchoire avancée par le chirurgien, les dents s'emboîtent immédiatement.

    2. Avancée Mandibulaire Chirurgicale : Le repositionnement osseux a permis de corriger le profil de manière spectaculaire, redonnant de la force et de la structure au bas du visage.

    3. Réhabilitation de la Force Masticatrice : C'est le point clé du ressenti patient. En retrouvant un engrènement de Classe I, les muscles masticateurs travaillent enfin avec un rendement optimal. Le patient ressent physiquement ce retour de puissance musculaire.

    4. Harmonie du Profil : L'avancée du menton a équilibré les proportions du visage, offrant un profil plus affirmé et une meilleure définition de la ligne mandibulaire.

Avant
Après
Avant
Après
Avant
Après
Avant
Après
Avant
Après
Avant
Après

Création par Webdentiste

Connexion